Services
Cardiologie
Le cœur est un organe vital, tant chez nous que chez nos compagnons à quatre pattes. Il convient de bien le surveiller au cours de leur vie.
Chirurgie
La chirurgie est une discipline vaste et variée. Elle permet la détection, puis la correction de pathologies orthopédiques, le retrait de tumeur, ou la prise en charge de certaines anomalies organiques, ainsi que le suivi des patients opérés.
Dentisterie
L’hygiène bucco-dentaire est primordiale dans la gestion de la santé de nos compagnons à quatre pattes.
Dermatologie
Nos compagnons à quatre pattes peuvent eux aussi être sujets à des maladies de peau impactant leur quotidien. Cela peut se manifester par des chutes de poils, des démangeaisons (prurit), du léchage compulsif, une mauvaise odeur, les oreilles sales…
Hospitalisation et bien-être
Pour de nombreuses pathologies, une prise en charge en hospitalisation est recommandée. Elle permet de gérer la douleur, d’administrer des fluides ou les médicaments par voie intraveineuse, mettre sous oxygène… Elle peut faire suite à un traumatisme, à une chirurgie ou un examen complémentaire.
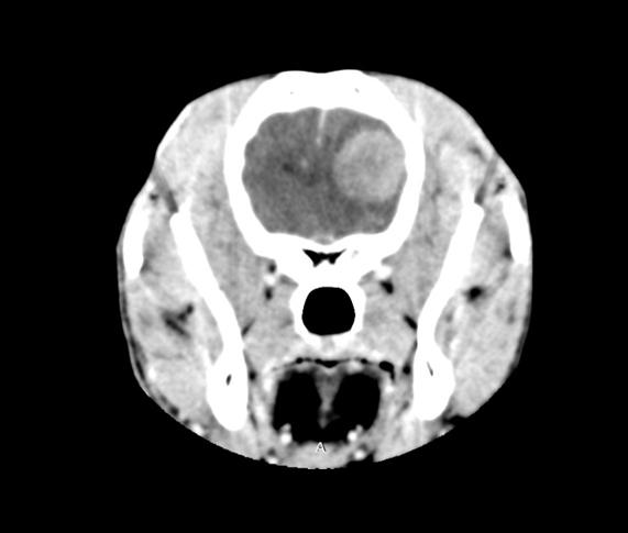
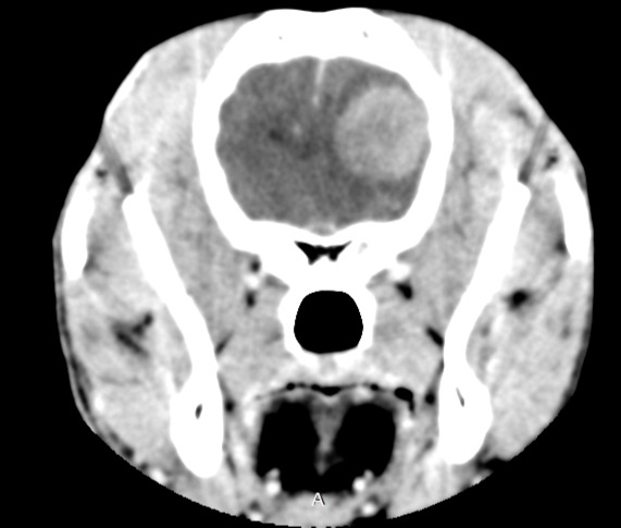
Imagerie médicale
L’imagerie médicale est une discipline transversale nécessaire au dignostic dans de nombreuses pathologies tant en médecine spécialisée, qu’en cardiologie, en neurologie ou en chirurgie.
Laboratoire d’analyses
SQYVET dispose d’un laboratoire d’analyse de pointe équipé par Fujifilm. Nous avons donc la possibilité de réaliser rapidement les examens sanguins et urinaires nécessaires aux diagnostics ou au suivi des patients.
Médecine préventive et médecine générale
La médecine préventive correspond aux consultations vaccinales, aux demandes de conseils ou discussion sur la stérilisation, la gestion des antiparasitaires, la nutrition. La médecine générale constitue la première exploration sur une pathologie aiguë comme les vomissements, la diarrhée ou une petite plaie par exemple.
Médecine spécialisée
La médecine spécialisée comprend la prise en charge des affections aiguës ou chroniques des grands systèmes du corps (respiratoir, digestif, endocrinien, urinaire).
Neurologie
L’atteinte du système nerveux est difficile à évaluer car les symptômes peuvent être subtiles. La neurologie vétérinaire s’intéresse à l’étude, au diagnostic et au traitement des affections du système nerveux (cerveau, moelle épinière, nerfs périphériques).
Oncologie
L’oncologie, ou cancérologie vétérinaire, est la spécialité qui lutte contre les cancers, de l’étude aux traitements instaurés après la pose du diagnostic.
Urgences
SQYVET assure les urgences vétérinaire 24h/24, 7 jours/7 y compris les jours fériés. Il existe deux types d’urgence : les urgences vitales (pronostic vital de l’animal en jeu) et les urgences relatives (le pronostic n’est pas engagé mais l’état de douleur ou l’état clinique de l’animal nécessite une prise en charge rapide).
Lors de situations urgentes (vitale ou relative), le but de l’équipe est de réanimer et stabiliser le patient, et non de poser un diagnostiv complet.


















